
معاون امور زنان و خانواده رئیس جمهور در حساب کاربری خود در شبکه اجتماعی ایکس، با انتشار چندین پیام به مصوبه «کاهش سقف مهریه» واکنش نشان داد. به گزارش باشگاه خبرنگاران، "زهرا بهروزآذر" معاون امور زنان و خانواده رئیسجمهور، در اظهاراتی صریح، مصوبه کاهش سقف ضمانت اجرای مهریه...

روزنامه اعتماد نوشت: این روزها فضای همواره آشفته مجازی حامل نقد و انتقادهایی در خصوص طرح پیشنهادی «قانون جدید مهریه مبنی بر کاهش سقف ضمانت اجرای کیفری برای مهریه از ۱۱۰ سکه به ۱۴ سکه» از طرف زنان و دغدغهمندان حقوق زنان است. تاکید شده که این تغییر به معنای محدود شدن حق زنان...

در قانون جدید، زنان در صورت بذل کلیهی حقوق مالی خود (بخشش مهریه خود)، امکان ارائه درخواست طلاق را خواهند داشت. به گزارش انتخاب، یک نماینده مجلس اعلام کرد: در قانون جدید، زنان در صورت بخشش مهریه خود، امکان ارائه درخواست طلاق را خواهند داشت. وی گفت: در یک ماده قانون...

به گزارش شفقنا، یورونیوز نوشت: یک مطالعه جدید نشان داده است که زنان بیشتر از مردان از ورزش سود میبرند – به خصوص در مورد سلامت قلب؛ چه اینکه تنها چند ساعت ورزش در هفته میتواند از قلب محافظت کند و مردان به فعالیت بیشتری نسبت به زنان نیاز دارند. براساس نتایج یک تحقیق مردان...

با طلاق، یک انفجار اتمی درون خانواده رخ میدهد. این موضوع به دلیل شرایط جامعه تبعات منفیتری برای زنان به همراه دارد. در واقع، به دلیل عمق ارزشها و هنجارهای فرهنگی، زنان هزاران برچسب میخورند و به آنها نسبتهایی چون ناسازگاری، عدم سلامت داده میشود و در واقع، سرنوشت زن...

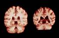
مغز زنان کُندتر پیر میشود، اما به نظر نمیرسد که این موضوع آنها را از ابتلا به نوع شایع زوال عقل محافظت کند. به گزارش ایسنا به نقل از نیچر، بر اساس یک مطالعه طولی که امروز در مجموعه مقالات آکادمی ملی علوم منتشر شد، در طول پیری، مردان در مقایسه با زنان، کاهش حجم بیشتری را...

دانشمندان علت طول عمر بیشتر زنان نسبت به مردان را کشف کردند! به گزارش روزیاتو، بیش از دو قرن است که همه میدانند زنان در سراسر جهان بهطور میانگین عمر طولانیتری نسبت به مردان دارند. دلیل اصلی این پدیده جالب سالها دانشمندان را سردرگم کرده بود، اما اکنون گروهی بین...

کلثوم اکبری در شهریور ماه ۱۴۰۲ به ظن دست داشتن در مرگ همسر ۸۲ ساله خود بازداشت میشود/ او پس از دستگیری به قتل ۱۰ شوهر دیگر خود طی ۲۰ سال اعتراف میکند. روزنامه اعتماد نوشت: هفته گذشته خبر صدور رای در پرونده «کلثوم اکبری» قاتل سریالی مردان مازندرانی در رسانهها منتشر می...

فرمانده انتظامی خمام از دستگیری عامل اسیدپاشی در این شهرستان خبر داد. به گزارش اعتماد، سرهنگ باقر رجبی ویسرودی، فرمانده انتظامی خمام اظهار داشت: ماموران انتظامی به سرعت به محل حادثه اعزام شدند. وی با بیان اینکه مردی ۲۸ ساله به علت اختلافات خانوادگی با همسر خود...

رکنا | پرونده «کلثوم اکبری» زن ۵۶ سالهای که طی ۲ دهه ۱۳ شوهر خود را با خوراندن قرصهای قند و در مواردی خفه کردن به قتل رسانده، بار دیگر در کانون توجه قرار گرفته است. ویدیو اقدامات جنایتکارانه کلثوم اکبری قاتل سریالی از زبان خانواده مقتولان,فیلم درباره کلثوم اکبری,ویدیو...

مردی پس از ۸ سال زندگی مشترک با همسرش متوجه شد ۲ فرزندش از او نیستند و حاصل رابطه پنهانی همسرش با مدیر شرکت بودهاند. پس از شکایت و بررسی آزمایش DNA، مریم و خسرو در دادگاه به اعدام محکوم شدند. به گزارش رکنا، مردی ۸ سال بعد از ازدواج متوجه شد فرزندانش حاصل رابطه همسرش با...

معاون سلامت اجتماعی سازمان بهزیستی کشور ضمن اشاره به وضعیت روند خودکشی در ایران، گفت: مطالعات مختلف در جهان نشان میدهد که زنان سه برابر بیشتر از مردان اقدام به خودکشی میکنند، اما نرخ مرگ و میر ناشی از خودکشی در مردان سه برابر بالاتر است. این تفاوت عمدتاً به دلیل روشهای...

مرکز رصد جمعیت سازمان ثبت احوال کشور پرتکرارترین نامهای مرد در ایران را منتشر کرد. به گزارش مهر، مرکز رصد جمعیت سازمان ثبت احوال اعلام کرد: بر اساس دادههای پایگاه اطلاعات جمعیت کشور از سال ۱۲۹۷ تاکنون، نام محمد با ۲ میلیون و ۷۰۷ هزار و ۶۷۱ فراوانی، علی با ۲ میلیون و ۴۹۶...

معاون رئیس جمهور در امور زنان و خانواده با اشاره به طرح اصلاح قانون مهریه در مجلس شورای اسلامی، گفت: این طرح توسط نمایندگان مجلس تهیه شده و معاونت امور بانوان هیچ نقش و دخالتی در آن نداشته و دولت مخالفت خود با این طرح را کتبا اعلام کرده است. به گزارش ایرنا، زهرا بهروزآذر...

«طلاقهای صوری» به عنوان پدیده اجتماعی تقریبا جدید که با توافق زوجین و در قالب طلاق مصلحتی با نیت و قصد تقلب نسبت به قوانین از جمله سوء استفاده از مزایای اقتصادی و اجتماعی واقع میشود، منطبق با شرایط و ضوابط از جمله ثبت در اسناد مربوطه صورت میگیرند، اما رابطه زوجین به صورت...

یک مطالعه جدید و جالب که در دانشگاه تگزاس انجام شده، نشان میدهد که استفاده از ایموجی در پیامهای متنی میتواند زوجها را به شکل معناداری به یکدیگر نزدیکتر کند. به گزارش دیجیاتو، براساس این پژوهش که در مجله علمی PLOS One منتشر شده، ترکیب متن و ایموجی در پیامها، نهتنها...

نتایج یک پژوهش جدید نشان می دهد که یکی از مواد شیمیایی موسوم به «مواد شیمیایی پایدار» یا PFAS، می تواند تأثیرات منفی قابل توجهی بر عملکرد عصبی داشته باشد، به ویژه در دوران رشد. این یافته ها بار دیگر زنگ هشدار را درباره ایمنی این ترکیبات پرکاربرد به صدا درآورده است. به...

زنان میتوانند در روابط صمیمی، بهویژه در لحظات بحرانی یا بر اساس الگوهای ناپخته رفتاری، مرتکب خشونت کلامی، روانی و حتی فیزیکی شوند. روزنامه خراسان نوشت: در فرهنگ عمومی، زن اغلب با نقش قربانی و مرد با نقش متجاوز تعریف میشود. این کلیشه، اگرچه در بسیاری از موارد واقعی است...

مشاور علمی جمعیت مبارزه با استعمال دخانیات با بیان اینکه یکی از عوامل پنهان و مؤثر در کاهش نرخ باروری در کشور، مصرف دخانیات است، گفت: بیش از ۳ میلیون زوج ایرانی با ناباروری مواجهاند. شریف ترکمننژاد، مشاور علمی جمعیت مبارزه با استعمال دخانیات در گفتگو با مهر اظهار کرد:...

این روزها، مجلس طرحی را در دست بررسی دارد که بر اساس آن مهریه را از ۱۱۰ به ۱۴ سکه کاهش میدهد؛ طرحی که هنوز تصویب نشده، اما سنگینیاش بر دوش زنان سایه افکنده و پای خیلیها را برای گرفتن مهریه به دادگاهها کشانده است. این درحالیست که معاون رئیسجمهور در امور زنان و خانواده،...

پژوهشی جدید که توسط یک دانشمند ایرانی انجام شده، نشان میدهد که هرچند «سندروم قلب شکسته» بیشتر در زنان دیده میشود، اما مردان دو برابر بیشتر در اثر این عارضه جان خود را از دست میدهند. به گزارش دیجیاتو، همه ما با درد روانی قلب شکسته کاملا آشنا هستیم و تاکنون کتابها، آهنگ...

طرح کاهش سطح حمایت کیفری مهریه در راستای حمایت از مردان در برابر زندانی شدن به خاطر مهریه است. اما نگرانیهای جدی و مهمی وجود دارد که میتواند پیامدهای منفی زیادی برای زنان داشته باشد. به گزارش خبرآنلاین، در موضوع تعیین سقف مهریه و کاهش حمایت کیفری از آن، وقتی صحبت از...

بنابر بررسی محققان جامعهشناسی بریتانیایی، از هر ۵ بریتانیایی، یک نفر به همسر خود خیانت کرده است. این محققان با استفاده از هوش مصنوعی، چهرهای را بازسازی کرده و نام آن را «چهره خیانتکار» گذاشتهاند. به گزارش خبرآنلاین، بنابر هوش مصنوعی، مردها و زنهایی که به همسران...

حلقه هوشمند ضد خیانت RAW، گجتی تازه با هدف حفظ وفاداری در روابط عاشقانه است. این حلقه که با کمک هوش مصنوعی طراحی شده، با بررسی تغییرات فیزیولوژیکی بدن مانند دمای بدن، ضربان قلب و حتی لحن صدا، میتواند لحظات مشکوک را تشخیص دهد. ایده اصلی این ابزار، تقویت اعتماد بین زوج...

عضو کمیسیون اجتماعی مجلس شورای اسلامی با تاکید بر لزوم تحکیم خانواده، گفت: طرح اصلاح موادی از قانون نحوه اجرای محکومیتهای مالی و برخی از احکام مهریه در نوبت رسیدگی در صحن علنی مجلس قرار دارد. محمد سراج در گفتوگو با ایرنا اظهار کرد: کمیسیون اصلی بررسی طرح اصلاح موادی از...

بیماری عروق کرونر (CAD) یک بیماری قلبی جدی و تهدیدکننده در زنان و مردان است. به گزارش ایسنا به نقل از هلثدی نیوز، CAD بیماری است که در آن کلسترول در دیواره داخلی رگهای خونی قلب رسوب میکند. این رگهای خونی، اکسیژن را به قلب میبرند و هنگامی که پلاک یا همان رسوب...

محققان میگویند که زنان بهطور متوسط ۲ دسیبل شنوایی حساستری نسبت به مردان دارند. به گزارش دیجیاتو، مشکلات شنوایی در سرتاسر جهان روبهافزایش است؛ میدانیم که حساسیت شنوایی با افزایش سن کاهش مییابد، بااینحال تحقیقات کمی درباره سایر عوامل زیستشناختی و محیطی مؤثر بر...

علی عباسی کارگردان فیلم «کارآموز» اتهام آزار جنسی به یک بازیگر مرد را تأیید و عذرخواهی کرد. به گزارش ۳۰نما، «علی عباسی» کارگردان فیلم «کارآموز» اتهام آزار جنسی به یک بازیگر مرد را تأیید و عذرخواهی کرد. روز گذشته «ددلاین» گزارش داده بود که این کارگردان ایرانی در جشنی که...

این کارزار که از طرف برخی پسران ایرانی در پلتفرم کارزار ثبت شده است، تاکنون بیش از ۳۴ هزار امضا داشته است. به گزارش اعتمادآنلاین، کارزار درخواست تصویب سربازی برای دختران در فضای مجازی خبرساز شده است. کارزاری بحثبرانگیز که از طرف «جمعی از مردان و پسران ایران زمین» به راه...

روزنامه هم میهن نوشت: در سه، چهار سال اخیر، هرسال ۱۰ درصد به آمار خودکشی افزوده شده؛ روانپزشکان و فعالان حوزه روان، نسبت به روند رو به رشد پایاندادن به زندگی در کشور، هشدار میدهند. آنها میگویند، جهشی در این زمینه رخ داده که آمار ایران را حتی نسبت به کشورهای دیگر افزایش...





