
دکتر بهزاد هوشمند استاد تمام دانشگاه علوم پزشکی شهید بهشتی در گفتگو با باشگاه خبرنگاران، بیان کرد:بیماری های لثه و دندان احتمال ابتلا به بروز سکته مغزی و بیماری های قلبی را افزایش می دهد.
وی افزود :مطالعات نشان داده است که عفونت های لثه ۳ فاکتور مهم در بدن را بالا می برد و در واقع ریز فاکتور های مشترک که بین بیماری های قلبی و عروقی وجود دارد سبب تشدید این بیماری می شود و همینطور افرادی که به عفونت لثه مبتلا هستند بیش از ۲ برابر احتمال بروز بیماری های قلبی و عروقی در آن ها افزایش پیدا می کند.

هوشمند ادامه داد:ضخیم شدن دیواره عروق سبب می شود خون به مغز و قلب نرسد که این خود یک عامل پرخطر است و باکتری ها و میکروب هایی که در عفونت دندان و لثه رشد می کنند تمایل دارند که وارد پلاک های درون رگ شوند همینطور این پلاک های میکرواورگانیسم می تواند فرد را به سرطان های سیستم گوارشی مبتلا کند.

این استاد تمام دانشگاه علوم پزشکی شهید بهشتی خاطرنشان کرد:در جهان ثابت شده است که بیماری لثه به علت حجم زیاد میکرواورگانیسم سیستم ایمنی را دچار اختلال می کند که این خود خطر ابتلا به سرطان را افزایش می دهد.
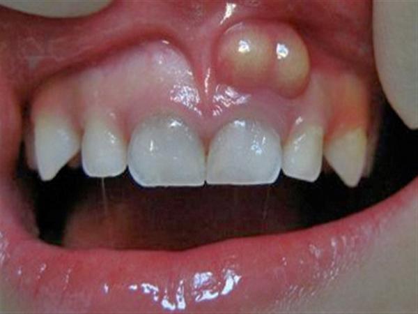
عفونت لثه و سلامت دهان و دندان
هوشمند گفت:عفونت لثه علاوه بر اینکه ظاهرافراد را نامناسب می کند بوی بد دهان را ایجاد می کند و می تواند تندرستی افراد را به مخاطره بیاندازد؛ همینطور این عارضه باعث مرگ زود رس هم می شود.

او افزود :اگر شخصی عفونت لثه داشته باشد و سیگار هم مصرف کند احتمال خطر بیماری های قلبی و عروقی و عروق مغزی در آن فردافزایش پیدامی کند؛ همچنین عفونت لثه در بیماری های آلزایمر و پارکینسون اثر می گذارد پس باید به بهداشت دهان و دندان اهمیت داد و سلامت آن را جدی گرفت.
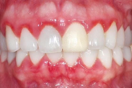
هوشمند با اشاره به اثرات مخرب این بیماری گفت :عفونت لثه به آسانی قابل پیشگیری است و خوشبختانه افراد می توانند با روش صحیح مسواک زدن در طول زمان مناسب نقش بسیار موثری در ارتقا سلامت دهان و دندان خود داشته باشند.

این استاد تمام دانشگاه علوم پزشکی شهید بهشتی افزود :در صورتیکه افرا می خواهند به پوسیدگی و عفونت لثه دچار نشوند باید به زمان مسواک زدن خویش توجه کنند شایسته ترین زمان مسواک زدن ۲۰ دقیقه پس از صرف غذا است؛ و درحالتی که این زمان به ۳ تا ۴ ساعت بعد از صرف غذا برسد باعث پوسیده شدن و عفونت لثه می شود و مسواک کردن بعد از آن هیچ تاثیری نخواهد داشت.
او در انتها گرفت:اشخاص زمانیکه به التهاب لثه دچار شده اند در مراحل اول می توانند جلوی عفونت را با مسواک زدن گرفته و آن را کنترل کنند.
- 11
- 3





























