پنجشنبه ۱۸ دی ۱۴۰۴
خبر بعدی
سایر مطالب مشاوره پزشکی
مضرات کیک تولد تصویری,اخبار پزشکی,خبرهای پزشکی,مشاوره پزشکی

کیک تولد تصویری و مضرات آن

مسئول بهداشت محیط البرز گفت: در برخی قنادی‌های استان برای چاپ تصویر بر روی کیک از رنگ‌های غیرخوراکی و شیمیایی استفاده می‌شود.

[ادامه]
تغذیه مناسب,اخبار پزشکی,خبرهای پزشکی,مشاوره پزشکی

کاهش عوارض ناشی از شیمی درمانی با مصرف تغذیه سالم

یک متخصص تغذیه و رژیم درمانی گفت: تغذیه مناسب می‌تواند در کاهش عوارض ناشی از روش‌های درمانی(شیمی درمانی) کمک کننده باشد.

[ادامه]
خشکی چشم ها,اخبار پزشکی,خبرهای پزشکی,مشاوره پزشکی

نکاتی برای جلوگیری از مشکلات شایع چشم در فصل زمستان

خشکی و خارش چشم‌ها از مشکلات شایع در فصل زمستان است که پایین بودن میزان رطوبت دلیل اصلی آن به حساب می‌آید.

[ادامه]
مصرف الکل,اخبار پزشکی,خبرهای پزشکی,مشاوره پزشکی

مصرف الکل و عواقب جبران ناپذیرش

معاون درمان دانشگاه علوم پزشکی لرستان گفت: بیماری‌های قلبی و عروقی، افسردگی و اضطراب بیشترین عوامل مرگ و میر است.

[ادامه]
پفک,اخبار پزشکی,خبرهای پزشکی,مشاوره پزشکی

آسیب به کبد و قلب بر اثر مصرف غلات حجیم شده

یک متخصص تغذیه با بیان اینکه چیپس و اسنک‌های پف شده به دلیل داشتن مقدار زیادی مواد افزودنی نباید بیش از حد مصرف شود، گفت: این گونه مواد موجب آسیب به

[ادامه]
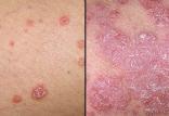
خشکی پوست,اخبار پزشکی,خبرهای پزشکی,مشاوره پزشکی

چه زمانی خشکی پوست نشانه پسوریازیس است؟

در میان چالش‌های بسیار که با فصل زمستان و سردی هوا همراه است خشکی پوست مشکل شایعی به حساب می‌آید.

[ادامه]
بیماری آنفلوانزا,اخبار پزشکی,خبرهای پزشکی,مشاوره پزشکی توصیه هایی در آغاز فصل زمستان؛

آنفلوانزا را با سرماخوردگی اشتباه نگیرید/راه های درمان

آنفلوانزا اغلب با علائمی چون تب، سردرد، دردهای عضلانی، ضعف‌های شدید همراه با سرفه، درد سینه، درد مفاصل، بی‌اشتهایی و کسالت عارض می‌شود.

[ادامه]
بیماری سالک,اخبار پزشکی,خبرهای پزشکی,مشاوره پزشکی

سالک، زخمی برای یک سال

یک عضو هئیت علمی گروه پوست دانشگاه علوم پزشکی اصفهان گفت: در قسمت‌هایی از اصفهان که بیماری سالک وجود دارد این نکته بسیار مهم است که بروز هرگونه زخم ب

[ادامه]
نمک,اخبار پزشکی,خبرهای پزشکی,مشاوره پزشکی توصیه به هموطنان؛

نمک های دریایی موجود در ایران غیر مجاز هستند

سرپرست واحد نظارت و ارزیابی فرآورده‌های طبیعی، دانشگاه علوم پزشکی شهید بهشتی، گفت: در ایران «نمک دریا» دارای مجوز وجود ندارد و تمامی نمک های موجود در

[ادامه]
آنتی بیوتیک ها,اخبار پزشکی,خبرهای پزشکی,مشاوره پزشکی سازمان غذا و دارو آمریکا هشدار می دهد؛

ارتباط برخی آنتی بیوتیک ها با پارگی مرگبار عروق قلبی

طبق گزارش سازمان غذا و دارو آمریکا، بیماران باید از مصرف گروهی از آنتی بیوتیک های موسوم به فلوروکینولون ها به دلیل افزایش ریسک پارگی عروق قلب خودداری

[ادامه]
لمینت دندان,اخبار پزشکی,خبرهای پزشکی,مشاوره پزشکی

انجام لمینت باعث از بین رفتن مینای دندان می شود؟

یک متخصص دندانپزشکی ترمیمی گفت: برخلاف برخی اظهارنظرهای غیرکارشناسانه سودجویان در فضای مجازی، انجام لمینت باعث از بین رفتن کامل مینای دندان نمی شود.

[ادامه]
فشارخون بالا,اخبار پزشکی,خبرهای پزشکی,مشاوره پزشکی

۸ توصیه ساده برای کاهش فشارخون

افراد بسیاری برای حفظ سلامتی خود به دنبال آسان‌ترین و سریع‌ترین راهکارها هستند و به همین خاطر رشد ۵۰ درصدی تجویز داروهای کاهنده فشارخون در فاصله سال‌

[ادامه]
صبحانه,اخبار پزشکی,خبرهای پزشکی,مشاوره پزشکی

مواد غذایی فیبردار در صبحانه برای کاهش وزن

متخصص تغذیه گفت: اگر در وعده صبحانه پروتئین کافی دریافت نکنیم ممکن است سوخت و ساز بدنمان کاهش پیدا کند و همچنین کاهش توده عضلانی را در پی داشته باشد.

[ادامه]
رفع نفخ شکم,اخبار پزشکی,خبرهای پزشکی,مشاوره پزشکی

چگونه نفخ شکمی را کاهش دهیم؟

یک پزشک عمومی در دانشگاه علوم پزشکی کردستان، گفت: گاهی نفخ و التهاب ناحیه شکمی می‌تواند نشانه یک بیماری شدید از جمله بیماری کبد، التهاب روده، نارسایی

[ادامه]
افسردگی,اخبار پزشکی,خبرهای پزشکی,مشاوره پزشکی

نقش التهاب در بروز علائم افسردگی

کارشناسان در پاسخ به این پرسش که چه عواملی موجب افسردگی می‌شوند، اظهار داشتند: به نظر این سوالی ساده است اما حقیقت این است که تاکنون پاسخ قطعی به آن

[ادامه]
رژیم غذایی سالم,اخبار پزشکی,خبرهای پزشکی,مشاوره پزشکی

نکاتی درباره رژیم غذایی سالم

آنچه که به عنوان مواد غذایی و آشامیدنی مصرف می‌شود بر توانایی بدن در مقابله با عفونت‌ها یا احتمال ابتلا به مشکلات جسمی از قبیل چاقی، بیماری‌های قلبی،

[ادامه]
گرفتگی عضلات,اخبار پزشکی,خبرهای پزشکی,مشاوره پزشکی

با گرفتگی عضله بعد از ورزش چه کنیم؟

یک متخصص پزشکی ورزشی معتقد است: هنگام فعالیت فیزیکی و ورزش آب و مایعات کافی بنوشید تا دچار گرفتگی عضلات نشوید.

[ادامه]
چاقی,اخبار پزشکی,خبرهای پزشکی,مشاوره پزشکی

چاقی؛ معضلی برای سلامت جسم و روان

چاقی یک خبر بد برای بدن و روان افراد است.

[ادامه]
لیزیک چشم,اخبار پزشکی,خبرهای پزشکی,مشاوره پزشکی

خطرات احتمالی لیزیک چشم

لنز تماسی از گزینه‌هایی است که برای رفع مشکل بینایی توصیه می‌شود اما ممکن است استفاده از آن برای همه افراد مقدور نباشد.

[ادامه]
توصیه‌های تغذیه‌ای برای شب یلدا,اخبار پزشکی,خبرهای پزشکی,مشاوره پزشکی

توصیه‌های تغذیه‌ای برای شب یلدا

رئیس هیأت مدیره انجمن تغذیه ایران، نکاتی را در ارتباط با بایدها و نباید‌های تغذیه‌ای در شب یلدا مطرح کرد.

[ادامه]
هیثم بن طارق آل سعید بیوگرافی هیثم بن طارق آل سعید؛ حاکم عمان

تاریخ تولد: ۱۱ اکتبر ۱۹۵۵ 

محل تولد: مسقط، مسقط و عمان

محل زندگی: مسقط

حرفه: سلطان و نخست وزیر کشور عمان

سلطنت: ۱۱ ژانویه ۲۰۲۰

پیشین: قابوس بن سعید

ادامه
بزرگمهر بختگان زندگینامه بزرگمهر بختگان حکیم بزرگ ساسانی

تاریخ تولد: ۱۸ دی ماه د ۵۱۱ سال پیش از میلاد

محل تولد: خروسان

لقب: بزرگمهر

حرفه: حکیم و وزیر

دوران زندگی: دوران ساسانیان، پادشاهی خسرو انوشیروان

ادامه
صبا آذرپیک بیوگرافی صبا آذرپیک روزنامه نگار سیاسی و ماجرای دستگیری وی

تاریخ تولد: ۱۳۶۰

ملیت: ایرانی

نام مستعار: صبا آذرپیک

حرفه: روزنامه نگار و خبرنگار گروه سیاسی روزنامه اعتماد

آغاز فعالیت: سال ۱۳۸۰ تاکنون

ادامه
یاشار سلطانی بیوگرافی روزنامه نگار سیاسی؛ یاشار سلطانی و حواشی وی

ملیت: ایرانی

حرفه: روزنامه نگار فرهنگی - سیاسی، مدیر مسئول وبگاه معماری نیوز

وبگاه: yasharsoltani.com

شغل های دولتی: کاندید انتخابات شورای شهر تهران سال ۱۳۹۶

حزب سیاسی: اصلاح طلب

ادامه
زندگینامه امام زاده صالح زندگینامه امامزاده صالح تهران و محل دفن ایشان

نام پدر: اما موسی کاظم (ع)

محل دفن: تهران، شهرستان شمیرانات، شهر تجریش

تاریخ تاسیس بارگاه: قرن پنجم هجری قمری

روز بزرگداشت: ۵ ذیقعده

خویشاوندان : فرزند موسی کاظم و برادر علی بن موسی الرضا و برادر فاطمه معصومه

ادامه
شاه نعمت الله ولی زندگینامه شاه نعمت الله ولی؛ عارف نامدار و شاعر پرآوازه

تاریخ تولد: ۷۳۰ تا ۷۳۱ هجری قمری

محل تولد: کوهبنان یا حلب سوریه

حرفه: شاعر و عارف ایرانی

دیگر نام ها: شاه نعمت‌الله، شاه نعمت‌الله ولی، رئیس‌السلسله

آثار: رساله‌های شاه نعمت‌الله ولی، شرح لمعات

درگذشت: ۸۳۲ تا ۸۳۴ هجری قمری

ادامه
نیلوفر اردلان بیوگرافی نیلوفر اردلان؛ سرمربی فوتسال و فوتبال بانوان ایران

تاریخ تولد: ۸ خرداد ۱۳۶۴

محل تولد: تهران 

حرفه: بازیکن سابق فوتبال و فوتسال، سرمربی تیم ملی فوتبال و فوتسال بانوان

سال های فعالیت: ۱۳۸۵ تاکنون

قد: ۱ متر و ۷۲ سانتی متر

تحصیلات: فوق لیسانس مدیریت ورزشی

ادامه
حمیدرضا آذرنگ بیوگرافی حمیدرضا آذرنگ؛ بازیگر سینما و تلویزیون ایران

تاریخ تولد: تهران

محل تولد: ۲ خرداد ۱۳۵۱ 

حرفه: بازیگر، نویسنده، کارگردان و صداپیشه

تحصیلات: روان‌شناسی بالینی از دانشگاه آزاد رودهن 

همسر: ساناز بیان

ادامه
محمدعلی جمال زاده بیوگرافی محمدعلی جمال زاده؛ پدر داستان های کوتاه فارسی

تاریخ تولد: ۲۳ دی ۱۲۷۰

محل تولد: اصفهان، ایران

حرفه: نویسنده و مترجم

سال های فعالیت: ۱۳۰۰ تا ۱۳۴۴

درگذشت: ۲۴ دی ۱۳۷۶

آرامگاه: قبرستان پتی ساکونه ژنو

ادامه
ویژه سرپوش