
قبل از توضیح در مورد عوارض بوتاکس باید گفت که تزریق بوتاکس به گواه بسیاری از پزشکان ایرانی ، یکی از پرطرفدارترین عملهای تزریقی در کشور است و طبق آخرین آمارها ، فقط در شهری همانند تهران روزانه ۲ تا ۳ هزار نفر برای تزریق بوتاکس به مطبها مراجعه میکنند که بیشتر این افراد برای رفع چین و چروک پیشانی و صورتشان دست به این کار میزنند اما مانند تمام عملهای زیبایی تزریق بوتاکس هم خطرناک است.
در سالهای اخیر به دلیل درخواستهای زیاد، اقلام بیکیفیتی از کشورهای شرقی وارد ایران شده است. مهمترین عوارض تزریق بوتاکس افتادگی پلک و ابرو و همچنین دوربینی است. مطمئنا اگر انسان به یکی از این مواردی که گفتیم دچار شود، باید تا آخر عمر بیماری خود را همراه خود یدک بکشد؛ زیرا نمیتوان بدن را مانند روز اول بازگرداند.
به عبارتی دیگر حتما تا به حال زیاد درمورد عوارض بوتاکس شنیدهاید و شاید حتی خودتان یک یا چند بار تزریق آن را تجربه کرده یا این که دچار وسوسه تزریق آن شده باشید ، یعنی تزریق سمی که در خیلی از موارد توسط یک باکتری تولید میشود و بعد از رقیق و ضعیف شدن باعث مهار حرکت عضلات میشود تا دیگر چروکها کمتر روی پوست جلوه کنند.
جدای از عوارض بوتاکس حتی در کشوری همانند آمریکا تزریق این ماده جوان کننده این روزها شایع ترین عمل زیبایی است و در کشور ما نیز مطابق آمار و به روایت تصویری که از شهروندان و بخصوص خانم ها داریم این عمل خطرناک متاسفانه شیوع بالایی حتی در بین نسل جوان دارد تا جایی که در اطراف مان افراد زیادی را میشناسیم که از این راه جوانی را به خود هدیه کردهاند.تا به حال درمورد بوتاکس زیاد صحبت شدهاست و ما نمیخواهیم دوباره همان حرفها را تکرار کنیم بلکه به دنبال گفتن نکاتی در مورد این ماده جوانی هستیم که شاید کمتر جایی شنیده باشید.

آیا بوتاکس بهترین راه برای زیبایی است : تزریق بوتاکس روش سریع و موثری برای رفع چروک است زمان شروع اثر بوتاکس بین ۴تا۷ روز است.مدت تزریق آن بین ۱۰ تا۲۰ دقیقه طول میکشد و میتوانید بعد از تزریق سریع به سر کار خود برگردید،حتی در اکثر مواقع هنگام خروج کمتر کسی متوجه تزریقها خواهد شد.
اثرات تزریق بوتاکس بسته به تعداد تزریق قبلی بین ۴ تا ۶ ماه طول میکشد. اگر هر۳ ماه به مدت یک سال تزریق بوتاکس انجام شود، به تدریج فواصل تزریق های بعدی بیشتر میشود، یعنی عملا با تزریق بوتاکس کمتر اثرات طولانیتری حاصل میشود.
عوارض بوتاکس توسط فرد غیر متخصص : عوارض پس از تزریق بوتاکس معمولا به سبب اشتباهات در تزریق کردن ایجاد میشود. برای مثال اگر بوتاکس در نقاط صحیح تزریق نشود یا دوز دارو مناسب نباشد و بیش از حد تزریق شود، دارو بسیار رقیق شده باشد و پخش شود یا نقاطی که تزریق میشود فشار و ماساژ داده شود یا اگر از داروهای تقلبی و غیر استاندارد استفاده شود و تزریق بهوسیله اشخاص غیر متخصص و در مکانهای نامناسب مثل آرایشگاهها صورت گیرد، احتمال ایجاد عارضه افزایش پیدا میکند و اگرنه بوتاکس به خودی خود کارایی بسیار خوبی دارد و عارضه چندانی ندارد.
اگر هم عارضهای داشته باشد برای مثال سبب سردرد گذرا و علائمی شبیه سرماخوردگی بعد از تزریق میشود یا یک مقدار افتادگی پلک میدهد که این عوارض گذراست و خطرناک نیست. البته یادتان نرود افتادگی پلک ممکن است به سبب عدم مهارت کافی پزشکی در تزریق هم پیش بیاید.

انواع بوتاکس های (دیسپورت) موجود در بازار کشورمان از کشور انگلیس ، کره و کانادا و گاهی بی نام نشان است اما بوتاکسهای نوع کانادایی مورد تایید وزارت بهداشت نیست چرا که این نوع بوتاکس در واقع ساخت کشور چین است و در بعضی بیماران سبب ایجاد عوارض آلرژی میشود.
این نوع بوتاکسها نه تنها کیفیت بسیار پایینی دارند بلکه قیمت پایینی هم دارند و به همین دلیل متاسفانه برخی پزشکان با خریداری بوتاکس چینی ارزان قیمت هزینههای بالایی را از بیماران و اشخاص علاقهمند به تزریق بوتاکس دریافت میکنند.
هر چند که بوتاکس توسط پزشکان متخصص و البته دلسوز هرگز توصیه نمی شود اما اگر فرد تمایل به انجام این عمل زیبایی خطرناک را دارد حتما در مواردی تزریق بوتاکس برایش ممنوع است؟
– اگر فرد بیماری اختلالات انعقادی داشته باشد – استفاده از داروهای ضد انعقاد خون – دوران حاملگی – سن کمتر از ۱۸ سال و همچنین سن بالاتر از ۷۵ سال – بیماری ام اس ، میاستنی گراویس،نفروپاتی و نارسایی کلیه – بیماریهای قلبی و عروقی حاد – ضعف ایمنی یا کسانی که عفونت فعال دارند. – واکسیناسیون در ۲ هفته اخیر – کسانی که بدون دلیل مشخص مبتلا به بیماری فلج عضلانی هستند.

عوارض بعد از عمل بوتاکس
– صورت تان بیحرکت میماند و مانند یک ربات هستید؟ این در نتیجه دوز نادرست بوتاکس است و احساس راحتی ندارید.
– ابروهای قوسی غیر طبیعی رو به بالا که همیشه نگاه متعجبانه را به صورتتان میدهد و ممکن است چین و چروکهای غیر طبیعی در اطراف ابروها بهوجود آید. همه اینها زمانی رخ می دهد که تزریق بوتاکس درست انجام نشود.
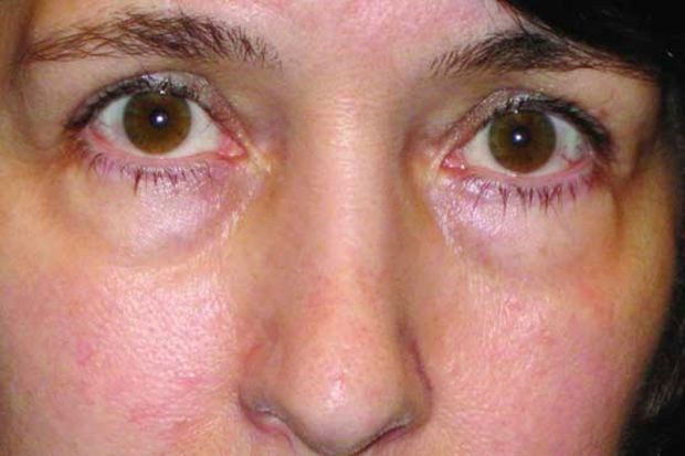
– افتادگی پلک که بسیار رایج است وقتی ابرو پژمرده میشود پلک احساس سنگینی میکند، اگر چه این عارضه موقتی است اما احساس ترس را درکسی که بوتاکس تزریق کرده بهوجود میآورد.
– اگر دوز بوتاکس بیش از حد باشد مخصوصا در قسمت عضله، احساس میشود که پیشانی سنگین شده است و چهره شما عبوس و افسرده دیده میشود.
– مسمومیت غذایی حاد هم میتواند پدید بیاید و از چند ساعت تا چند هفته بعد از تزریق ادامه داشته باشد، یعنی از زمانیکه سم بوتاکس اثر میکند دوبینی،تاری دید، ازدست دادن صدا و کنترل مثانه ایجاد میشود.
– سوزن سوزن شدن یا کبودی در محل تزریق.
– دیگر عوارض جانبی مثل سردرد، درد صورت، سرخی صورت و حالت تهوع.
بوتاکس افسردگی میآورد : پژوهشگران دریافته اند تزریق بوتاکس در اطراف چشم لبخند اشخاص را تحت تاثیر قرار میدهد و چنین به نظر میرسد که گویی این افراد به هیچوجه نمیخندند و اگر این را در نظر بگیریم که شادی و خوشحالی از درون ماست و خندیدن جلوه بیرونی میتواند در خوب جلوه کردن و شادیبخشی ما موثر باشد پس میتوان گفت انجام بوتاکس به هر چه بیشتر افسرده شدن کمک میکند.
پژوهشگران در ضمن این تحقیقات خود به این نتیجه رسیدند که اشخاصی که در ناحیه چشم نسبت به دیگر قسمتهای خود بوتاکس انجام می دهند نسبت به دیگران افسردهتر هستند و کمتر احساس شادی میکنند، در واقع افرادی که در ناحیه دور چشم بوتاکس انجام میدهند، نمیتوانند تا مدت بسیاری احساسات خود را بروز دهند و همین سبب افسردگی آنها میشود.
- 15
- 3







































