
به گزارش فارس، محققان موسسه ماکس پلانک برای تحقیق در مورد متابولیسم، آزمایشی را بر روی موش ها انجام دادند و دریافتند که تغییر متابولیسم چربی در کبد، احتمال ابتلا به دیابت را کاهش میدهد.
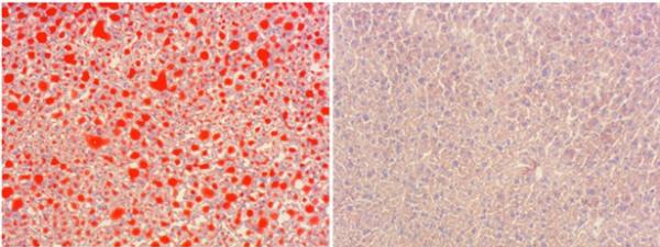
براساس گزارش «نیواطلس»، بدن ما چربی را در بافتها ذخیره میکند اما مصرف بیش از حد چربی در مدت زمان طولانی، باعث میشود تا چربیها در مکانهای مهمتر مانند کبد ذخیره و منجر به بیماری کبد چرب شوند. کبد چرب پاسخ به انسولین را کاهش داده و در نهایت باعث ابتلا به دیابت نوع دو میشود.
گروهی از چربیها به نام «سرامیدها» با بیماری کبد چرب مرتبط هستند؛ درگذشته تحقیقات زیادی بر روی کاهش سطح این چربیها با جلوگیری از پروتئینهایی که آنها را میسازند، انجام شد.

از طرفی محققان نشان دادند که جلوگیری از تولید سرامیدها در موشها مانع از افزایش مقاومت انسولین میشود.
طبق این گزارش، از آنجایی که سرامیدها با روشهای متفاوتی تولید میشوند، این تیم روشی را بررسی کرد که در مقاومت به انسولین شرکت دارد. در نتیجه محققان دریافتند که با جلوگیری از سرامید سنتاز ۶، موشها لاغرتر شدند و میزان چربی کبد آنها کاهش یافته است؛ همچنین متابولیسم گلوکز آنها نیز بهبود یافت.
این تحقیق در نهایت منجر به درمانهای جدیدی برای دیابت در انسانها میشود.
- 18
- 6







































