
دانشمندان روشی برای بازسازی غضروف شناسایی کردهاند که با هدفگیری پروتئینی که با افزایش سن بیشتر میشود، آسیب مفصلی در حیوانات مسن را معکوس میکند و
[ادامه]
در یک مطالعه تازه که با همکاری متخصصان مرکز پزشکی UT Southwestern انجام شد، مشخص شده است تشدید سفتی روده بزرگ که با التهاب مزمن تحریک میشود، ممکن ا
[ادامه]
پژوهشهای علمی نشان میدهند که مغناطیس میتواند کاربردهای مهمی در پزشکی بهویژه در درمان سرطان داشته باشد.
[ادامه]
سلولهای ما ممکن است به معنای واقعی کلمه با الکتریسیته کار کنند و به عنوان یک منبع تغذیه پنهان برایشان عمل کند که میتواند به انتقال مواد کمک کند یا
[ادامه]
دانشمندان کشف کردند که مسدود کردن یک پروتئین، رشد سرطان را در موشها کند میکند.
[ادامه]
دانشمندان سرانجام میتوانند آرامترین پیامهای مغز را بشنوند و بفهمند نورونها چگونه تصمیم میگیرند و چه زمانی روشن میشوند.
[ادامه]
پلک زدن ما وضعیت ما را نشان میدهد؛ به عنوان مثال، کمتر پلک زدن به این معنی است که سختتر میشنویم.
[ادامه]
محققان روش جدید و امیدوارکنندهای برای مبارزه با سرطان کشف کردهاند: باکتریهای رودهای یک قورباغه درختی ژاپنی که در موشها تومورها را بهطور کامل کو
[ادامه]
گزارشی در مجله «تایم» نشان میدهد تازهترین فناوریهای پزشکی که بیمارستانها در سال ۲۰۲۵ به کار گرفتند، میتوانند نقطهعطفی در دسترسی بیماران به خدما
[ادامه]
یک مطالعه جدید میگوید افرادی که ضربه مغزی را نادیده میگیرند، ممکن است در آینده در معرض خطر بیشتر ابتلا به بیماری آلزایمر باشند.
[ادامه]
یک مطالعه جدید میگوید شکم بزرگ یک مرد میتواند برای قلبش مشکلساز باشد.
[ادامه]
یک داروی جدید، توسعه آلزایمر را در یک آزمایش موفقیتآمیز متوقف کرد.
[ادامه]
سارا تبریزی دانشمند ایرانی که نخستین ژن درمانی بیماری هانتینگتون را هدایت کرد، در فهرست ۱۰ فرد تاثیرگذار سال ۲۰۲۵ از نگاه مجله «نیچر» قرار گرفت.
[ادامه]
دانشمندان میگویند یک پروتئین را شناسایی کردهاند که پیشبینیکننده بهتری برای بیماری قلبی نسبت به میزان کلسترول است.
[ادامه]
چرا دو سوراخ بینی داریم؟ این سؤال ممکن است ساده به نظر برسد، اما پاسخ آن پیچیدهتر از آن چیزی است که فکر میکنیم.
[ادامه]
پژوهش جدیدی نشان میدهد که نوشیدن بیش از پنج فنجان قهوه در روز میتواند بر تراکم استخوانی زنان یائسه تأثیر منفی بگذارد، در حالی که مصرف چای ممکن است
[ادامه]
تحقیقات جدید نشان میدهد آفتکشهای مورد استفاده در مزارع تجاری و حتی باغچه گلهای حیاط خلوت شما، میتوانند به باکتریهای سالمی که در روده شما زندگی
[ادامه]
دانشمندان یک ژن غیر کدکننده را شناسایی کردهاند که به طور مستقیم رشد سلولهای بزرگ را کنترل میکند.
[ادامه]
مدتهاست که داشتن موهای سفید تنها بهعنوان نشانهای از افزایش سن تلقی میشوند؛ اما پژوهشهای جدید این نگاه سادهانگارانه را به چالش کشیدهاند و نشان
[ادامه]
پژوهشگران میگویند ریشههای زوال عقل نیز به مانند بسیاری از اختلالات روانی و رفتاری، به دوران کودکی بازمیگردد.
[ادامه]
با توجه به اینکه هپاتیت C حدود ۵۰ میلیون نفر را در سراسر جهان تحت تاثیر قرار می دهد، این آزمایش سریع در محل می تواند به کشورها کمک کند تا به هدف حذف
[ادامه]
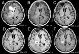
نتایج پژوهش جدید نشان داد که نوعی فناوری پوشیدنی می تواند به پزشکان کمک کند تا بیماری پارکینسون را ۹ سال قبل از تشخیص معمول آن شناسایی کنند.
[ادامه]
دانشمندان میگویند کاهش ۳۰ درصدی کالری دریافتی میتواند برای محافظت از مغز در برابر پیری مؤثر باشد.
[ادامه]
به نظر میرسد رژیم غذایی به سبک «فستینگ» یا «ناشتا ماندن طولانیمدت» منجر به تغییرات پویا در مغز انسان میشود.
[ادامه]
بررسی انجامشده توسط پژوهشگران دانشگاه بیرمنگام و دانشگاه آکسفورد در بریتانیا نشان داده است که دوزهای کنترلشدهی گاز خنده (نیتروساکساید) واقعاً می
[ادامه]
یک داروی جدید به عنوان اولین داروی ترمیم دی ان ای و بازسازی بافت آسیب دیده می تواند آسیب های ناشی از حوادث جدی مانند حمله قلبی را ترمیم کند.
[ادامه]
دانشمندان با ساخت یک «نقشه زیستی چندلایه» نشان دادهاند که سلولها و مولکولهای ریز مغز چگونه شبکههای بزرگ مسئول تفکر، احساس و رفتار را میسازند.
[ادامه]
محققان می گویند ویتامین C می تواند محافظت کم هزینه ای در برابر ذرات معلق در هوا ارائه دهد و از سلول های ریه دربرابر آسیب های رایج آلودگی هوا محافظت م
[ادامه]
شرکت دانش بنیان «اینسیلیکو مدیسین» از کاندیدای جدیدی به نام ISM3830 رونمایی کرده که هوش مصنوعی آن را از صفر طراحی کرده است و یک داروی ضد سرطان کاملاً
[ادامه]
دانشمندان دانشگاه لایپزیگ برای نخستین بار ژنی را شناسایی کرده اند که می تواند به تنهایی عامل بروز بیماری روانی باشد؛ کشفی که نگاه سنتی به اختلالات رو
[ادامه]
بیوگرافی هیثم بن طارق آل سعید؛ حاکم عمانتاریخ تولد: ۱۱ اکتبر ۱۹۵۵
محل تولد: مسقط، مسقط و عمان
محل زندگی: مسقط
حرفه: سلطان و نخست وزیر کشور عمان
سلطنت: ۱۱ ژانویه ۲۰۲۰
پیشین: قابوس بن سعید
زندگینامه بزرگمهر بختگان حکیم بزرگ ساسانیتاریخ تولد: ۱۸ دی ماه د ۵۱۱ سال پیش از میلاد
محل تولد: خروسان
لقب: بزرگمهر
حرفه: حکیم و وزیر
دوران زندگی: دوران ساسانیان، پادشاهی خسرو انوشیروان
بیوگرافی صبا آذرپیک روزنامه نگار سیاسی و ماجرای دستگیری ویتاریخ تولد: ۱۳۶۰
ملیت: ایرانی
نام مستعار: صبا آذرپیک
حرفه: روزنامه نگار و خبرنگار گروه سیاسی روزنامه اعتماد
آغاز فعالیت: سال ۱۳۸۰ تاکنون
بیوگرافی روزنامه نگار سیاسی؛ یاشار سلطانی و حواشی ویملیت: ایرانی
حرفه: روزنامه نگار فرهنگی - سیاسی، مدیر مسئول وبگاه معماری نیوز
وبگاه: yasharsoltani.com
شغل های دولتی: کاندید انتخابات شورای شهر تهران سال ۱۳۹۶
حزب سیاسی: اصلاح طلب
زندگینامه امامزاده صالح تهران و محل دفن ایشاننام پدر: اما موسی کاظم (ع)
محل دفن: تهران، شهرستان شمیرانات، شهر تجریش
تاریخ تاسیس بارگاه: قرن پنجم هجری قمری
روز بزرگداشت: ۵ ذیقعده
خویشاوندان : فرزند موسی کاظم و برادر علی بن موسی الرضا و برادر فاطمه معصومه
زندگینامه شاه نعمت الله ولی؛ عارف نامدار و شاعر پرآوازهتاریخ تولد: ۷۳۰ تا ۷۳۱ هجری قمری
محل تولد: کوهبنان یا حلب سوریه
حرفه: شاعر و عارف ایرانی
دیگر نام ها: شاه نعمتالله، شاه نعمتالله ولی، رئیسالسلسله
آثار: رسالههای شاه نعمتالله ولی، شرح لمعات
درگذشت: ۸۳۲ تا ۸۳۴ هجری قمری
بیوگرافی نیلوفر اردلان؛ سرمربی فوتسال و فوتبال بانوان ایرانتاریخ تولد: ۸ خرداد ۱۳۶۴
محل تولد: تهران
حرفه: بازیکن سابق فوتبال و فوتسال، سرمربی تیم ملی فوتبال و فوتسال بانوان
سال های فعالیت: ۱۳۸۵ تاکنون
قد: ۱ متر و ۷۲ سانتی متر
تحصیلات: فوق لیسانس مدیریت ورزشی
بیوگرافی حمیدرضا آذرنگ؛ بازیگر سینما و تلویزیون ایرانتاریخ تولد: تهران
محل تولد: ۲ خرداد ۱۳۵۱
حرفه: بازیگر، نویسنده، کارگردان و صداپیشه
تحصیلات: روانشناسی بالینی از دانشگاه آزاد رودهن
همسر: ساناز بیان
بیوگرافی محمدعلی جمال زاده؛ پدر داستان های کوتاه فارسیتاریخ تولد: ۲۳ دی ۱۲۷۰
محل تولد: اصفهان، ایران
حرفه: نویسنده و مترجم
سال های فعالیت: ۱۳۰۰ تا ۱۳۴۴
درگذشت: ۲۴ دی ۱۳۷۶
آرامگاه: قبرستان پتی ساکونه ژنو