
عضو هیئت علمی دانشگاه علوم پزشکی تهران گفت: برخلاف برخی دیدگاه های منفی رایج، چای در صورت مصرف صحیح و متناسب با مزاج افراد، نه تنها مضر نیست بلکه می
[ادامه]
متخصصان هشدار میدهند روش موسوم به «بستن رگ اشتها» یا آمبولیزاسیون شریان گاستریک، یک اقدام غیراستاندارد و پرخطر است که نه تنها کاهش وزن پایدار ایجاد
[ادامه]
متخصصان تغذیه هشدار میدهند که مصرف زیاد کافئین نهتنها کمکی به رفع خستگی نمیکند، بلکه با افزایش خطر سرطان سینه و پوکی استخوان، باید محدود شود و جای
[ادامه]
یک فوق تخصص بیماریهای کلیه بزرگسالان با بیان اینکه در چند سال اخیر آمار استفاده از داروهای گیاهی برای درمان نارسایی کلیه افزایش پیدا کرده است، گفت:
[ادامه]
یک متخصص تغذیه میگوید: کپسولهای امگا۳ باید حتما دو ویژگی را داشته باشند. وگرنه نباید خریداری و مصرف شوند.
[ادامه]
مشاور پزشکی دولت انگلیس هشدار داد که مقاومت به آنتیبیوتیک خطری جدی و مهلکتر از تغییرات اقلیمی بوده و درصورتی که مورد توجه قرار نگیرد، میتواند دست
[ادامه]
یک متخصص پوست و مو گفت: آنچه که برای درمان مهم است و در زمان ایجاد تاول باید مشاهده کنیم این است که سن بیمار چقدر است.
[ادامه]
اضافه کردن برخی مواد خاص به برنامه غذایی روزانه کمک میکند که با اطرافیان مهربانتر باشیم.
[ادامه]
نرم کننده پارچه محصولی پر طرفدار است که برای حفظ نرمی لباس ها طراحی شده، در شرایطی که بوی خوب و دلپذیری نیز به آنها می بخشد.
[ادامه]
خواص گیاهان گیاهان دارویی به واسطه ترکیبات شناخته شده ای که دارند، می توانند نقش پیشگیری کننده داشته باشند.
[ادامه]
با عارضهای که پس از عمل جراحی یا اختلال گوارشی، در شما احساس مرگ لحظهای ایجاد میکند آشنا شوید.
[ادامه]
تمرینات تنفسی، استفاده از اسانسها و حتی صرف ۱۰ دقیقه زمان برای ارتباط گرفتن با حیوانات رام و خانگی از جمله اقداماتی هستند که میتوانند به کاهش اثرات
[ادامه]
بیماری ها دندان به واسطه درد زیادی که معمولا ایجاد می کنند، شناخته شده هستند. همه ما هر از گاهی ممکن است ازدندان درد رنج ببریم.
[ادامه]
زمانی که فردی با احساس گزگز یا سوزن سوزن شدن مواجه است، به طور معمول پارستزیا (Paresthesia) یا خوابرفتگی را تجربه می کند.
[ادامه]
اگر از مردم بخواهید دو بیماری که احتمال بیشتری دارد موجب مرگ آنها شود را نام ببرند، افراد بسیاری به سرطان و بیماری قلبی اشاره خواهند داشت.
[ادامه]
سکتههای قلبی و مغزی عامل نیمی از مرگهای زودرس ایرانیان است.
[ادامه]
یک درمانگر و کارشناس اعتیاد ورود مخدر گل به کشور را از دلایل کاهش مصرف شیشه عنوان کرد و افزود: عوارض شیشه نسبت به گل به مراتب سنگینتر است.
[ادامه]
یک جراح و متخصص زنان و زایمان: عضو تیم تخصصی مرکز درمان ناباروری ابن سینا، گفت: خانم ها زمان طلایی باروری خود را از دست ندهند.
[ادامه]
سعید سمنانیان گفت: در استفاد دوباره از بطری های پلاستیکی ذرات میکروپلاستیک افزایش پیدا میکند و مجموعهای از بیماریها که غدد داخلی ما را هدف گذاری م
[ادامه]
یک متخصص مغز و اعصاب: سیرنگومیلی یک اختلال نادر است، در این بیماری کیستهای متعددی در درون بافت نخاع ایجاد میشود.
[ادامه]
بهبود هوش کودکان وابسته به مواد غذایی است که روزانه مصرف میکنند.
[ادامه]
به واسطه تغذیه نامناسب و سبک زندگی کم تحرک، اضافه وزن و چاقی به یکی از نگرانی های اصلی در دنیای امروز تبدیل شده است.
[ادامه]
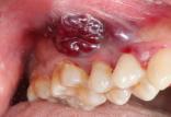
یک متخصص گوش و حلق بینی گفت: کیستهای دهانی میتواند مشکلاتی هنگام صحبت کردن و حتی زمان غذا خوردن ایجاد کنند.
[ادامه]
نتیجه مستقیم پنوموتوراکس این است که فضای اطراف ریه ها با هوا پر می شود.
[ادامه]
بیوگرافی هیثم بن طارق آل سعید؛ حاکم عمانتاریخ تولد: ۱۱ اکتبر ۱۹۵۵
محل تولد: مسقط، مسقط و عمان
محل زندگی: مسقط
حرفه: سلطان و نخست وزیر کشور عمان
سلطنت: ۱۱ ژانویه ۲۰۲۰
پیشین: قابوس بن سعید
زندگینامه بزرگمهر بختگان حکیم بزرگ ساسانیتاریخ تولد: ۱۸ دی ماه د ۵۱۱ سال پیش از میلاد
محل تولد: خروسان
لقب: بزرگمهر
حرفه: حکیم و وزیر
دوران زندگی: دوران ساسانیان، پادشاهی خسرو انوشیروان
بیوگرافی صبا آذرپیک روزنامه نگار سیاسی و ماجرای دستگیری ویتاریخ تولد: ۱۳۶۰
ملیت: ایرانی
نام مستعار: صبا آذرپیک
حرفه: روزنامه نگار و خبرنگار گروه سیاسی روزنامه اعتماد
آغاز فعالیت: سال ۱۳۸۰ تاکنون
بیوگرافی روزنامه نگار سیاسی؛ یاشار سلطانی و حواشی ویملیت: ایرانی
حرفه: روزنامه نگار فرهنگی - سیاسی، مدیر مسئول وبگاه معماری نیوز
وبگاه: yasharsoltani.com
شغل های دولتی: کاندید انتخابات شورای شهر تهران سال ۱۳۹۶
حزب سیاسی: اصلاح طلب
زندگینامه امامزاده صالح تهران و محل دفن ایشاننام پدر: اما موسی کاظم (ع)
محل دفن: تهران، شهرستان شمیرانات، شهر تجریش
تاریخ تاسیس بارگاه: قرن پنجم هجری قمری
روز بزرگداشت: ۵ ذیقعده
خویشاوندان : فرزند موسی کاظم و برادر علی بن موسی الرضا و برادر فاطمه معصومه
زندگینامه شاه نعمت الله ولی؛ عارف نامدار و شاعر پرآوازهتاریخ تولد: ۷۳۰ تا ۷۳۱ هجری قمری
محل تولد: کوهبنان یا حلب سوریه
حرفه: شاعر و عارف ایرانی
دیگر نام ها: شاه نعمتالله، شاه نعمتالله ولی، رئیسالسلسله
آثار: رسالههای شاه نعمتالله ولی، شرح لمعات
درگذشت: ۸۳۲ تا ۸۳۴ هجری قمری
بیوگرافی نیلوفر اردلان؛ سرمربی فوتسال و فوتبال بانوان ایرانتاریخ تولد: ۸ خرداد ۱۳۶۴
محل تولد: تهران
حرفه: بازیکن سابق فوتبال و فوتسال، سرمربی تیم ملی فوتبال و فوتسال بانوان
سال های فعالیت: ۱۳۸۵ تاکنون
قد: ۱ متر و ۷۲ سانتی متر
تحصیلات: فوق لیسانس مدیریت ورزشی
بیوگرافی حمیدرضا آذرنگ؛ بازیگر سینما و تلویزیون ایرانتاریخ تولد: تهران
محل تولد: ۲ خرداد ۱۳۵۱
حرفه: بازیگر، نویسنده، کارگردان و صداپیشه
تحصیلات: روانشناسی بالینی از دانشگاه آزاد رودهن
همسر: ساناز بیان
بیوگرافی محمدعلی جمال زاده؛ پدر داستان های کوتاه فارسیتاریخ تولد: ۲۳ دی ۱۲۷۰
محل تولد: اصفهان، ایران
حرفه: نویسنده و مترجم
سال های فعالیت: ۱۳۰۰ تا ۱۳۴۴
درگذشت: ۲۴ دی ۱۳۷۶
آرامگاه: قبرستان پتی ساکونه ژنو